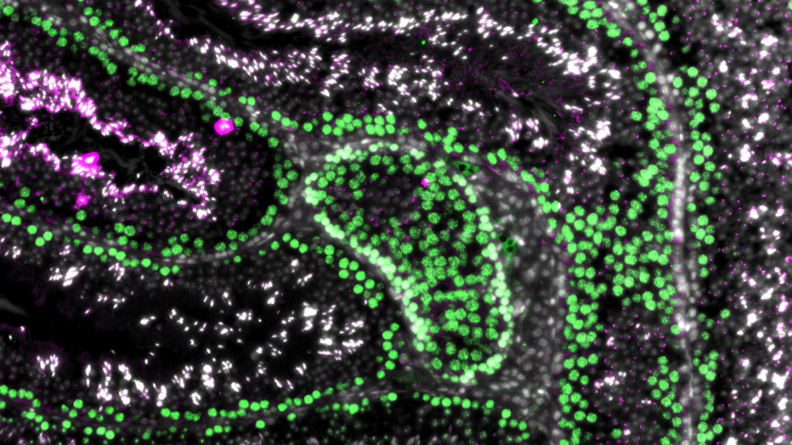
Cross‑section of testis tubules showing stages of spermatogenesis: green meiotic cells, pink developing sperm (dots in top right corner) and pink mature sperm (long cells in middle left), and the pre-meiotic white/gray spermatogonia along the basement membrane (lower left) are stem cells the researchers aim to preserve.
Breakthrough takes big step toward safe, reversible male contraception
By Krishna Ramanujan, Cornell Chronicle
Cornell scientists have taken a major step toward developing a safe, reversible, long-acting and 100% effective nonhormonal male contraceptive, considered the holy grail of male contraception.
A proof of principle study in mice, six years in the making, shows how targeting a natural checkpoint in meiosis, the process by which sex cells reproduce, safely stopped sperm production.
The researchers made use of JQ1, a small molecule inhibitor that was developed as a research tool to study cancer and inflammatory disease. Because of its neurological side effects, it wasn’t a viable therapy for disease, or as a final contraceptive, but it’s known to disrupt a stage of meiosis called prophase 1. This enabled Cornell researchers to provide the first proof of principle that meiosis – and sperm production – can be targeted safely and reversibly.
“We’re practically the only the group that’s pushing the idea that contraception targets in the testis are a feasible way to stop sperm production,” said Paula Cohen, professor of genetics in the College of Veterinary Medicine and director of the Cornell Reproductive Sciences Center.
Stephanie Tanis and Leah Simon, both Ph.D. ’25, and currently postdoctoral researchers at Colorado University, are the paper’s co-first authors, while Cohen is senior author of the study appearing April 7 in the Proceedings of the National Academy of Sciences.
“Our study shows that mostly we recover normal meiosis and complete sperm function, and more importantly, that the offspring are completely normal,” Cohen said.
Currently, male contraceptives include condoms and vasectomies. Many men are wary of vasectomies, the only long-acting option for men, and they are technically reversible through subsequent surgery. Researchers have been especially reluctant to develop a hormonal contraceptive, as such treatments have proven potentially dangerous in women.
“So we were really motivated to look for nonhormonal contraceptive targets in the testis, something that stops sperm production without affecting male libido and secondary sex characteristics,” Cohen said. Such secondary sex characteristics include facial and chest hair, a deep voice and muscle mass.
Sperm production occurs in three main stages. It starts with stem cells that develop into sperm for a male’s entire life. Those stem cells proliferate and differentiate, giving rise to cells that enter meiosis. During meiosis, cells with two complete sets of 46 chromosomes divide into four cells, called haploids, each with a half the parental complement of 23 chromosomes. After meiosis is finished, the process of spermiogenesis differentiates these haploid cells into sperm cells, with heads and tails allowing them to swim.
Cohen and colleagues decided to target meiosis, as opposed to other stages, in order to fully stop sperm production in a manner that was reversible and that left males otherwise fully functional.
“We didn’t want to impact the spermatogonial stem cells, because if you kill those, a man will never become fertile again,” Cohen said. Also, once sperm entered spermiogenesis, there was a potential for viable sperm to leak out and fertilize an egg.
JQ1 disrupts meiosis by killing cells during a stage called prophase 1, and it cuts off the onset of gene expression required for spermiogenesis.
In the study, the researchers administered JQ1 in male mice for three weeks. They found that the mice produced no sperm, and that all the molecular parameters of meiosis were disrupted, including chromosomal behavior during prophase 1.
Then they stopped delivering JQ1, and within six weeks, most of the healthy parameters of prophase 1 returned, along with normal sperm production. They then bred those mice and found they were all fertile, and bred the pups to show that they too were fertile, yielding healthy offspring.
“It shows that we recover complete meiosis, complete sperm function, and more importantly, that the offspring are completely normal,” Cohen said.
Moving forward, Cohen is considering new targets in meiosis that disrupt the process earlier, just at the entry into prophase 1, which would further ensure that no sperm survive. Targeting an earlier phase in the process would also improve drug delivery, due to the development of the blood testes barrier, which protects later stages of sperm development, from prophase 1.
In next steps, the team is working towards testing three new gene targets. “We have three targets that when knocked out, we know they absolutely obliterate meiosis and the mice have no sperm, and functionally and biologically, those mice are very healthy,” Cohen said. Now they are working to show these candidates can be targeted in a reversible way.
Cohen and colleagues intend to launch a company within the next two years to continue developing these methods.
A male contraceptive would likely start in the form of an injection taken every three months, or possibly a patch, to ensure effectiveness, Cohen said.
Co-authors include Jelena Lujic, a research associate in Cohen’s lab, and Charles Danko, associate professor in the Department of Biomedical and Translational Sciences and the Baker Institute in the College of Veterinary Medicine.
The work was supported by the Gates Foundation.
Media Contact
Get Cornell news delivered right to your inbox.
Subscribe