NIH grant awarded to investigate how immune system can banish HIV

Weill Cornell Medicine has received $4.2 million to study how the immune system in some people infected with HIV can keep the virus under control, which could lead to new therapies.

Machine learning helps define subtypes of Parkinson’s disease

Researchers at Weill Cornell Medicine have used machine learning to define three subtypes of Parkinson’s disease based on the pace at which the disease progresses.

NIH funds consortium to speed TB treatment development

A new consortium co-led by Weill Cornell Medicine has been awarded a five-year, $31 million grant from the NIH’s National Institute of Allergy and Infectious Diseases to accelerate the development of better treatment regimens for tuberculosis.

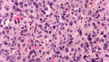
Researchers customize AI tools for digital pathology

Scientists from Weill Cornell Medicine and the Dana-Farber Cancer Institute have developed new AI tools tailored to digital pathology, a growing field that uses high-resolution digital images created from tissue samples to help diagnose disease.

Study backs RSV vaccine safety during pregnancy

Vaccinating mothers against RSV during late pregnancy to protect their newborns is not associated with an increased risk of preterm birth or other poor outcomes, according to Weill Cornell Medicine and NewYork-Presbyterian investigators.

Cornell Board of Directors Forum set for October in NYC

Designed to provide corporate leaders with critical skills and actionable insights to bring to their boardrooms, the 2024 Cornell Tech Board of Directors Forum is slated for Oct. 29 and 30 in New York City.

Around Cornell

Cell division: Before commitment, a long engagement

Before a cell commits fully to the process of dividing itself into two new cells, it may ensure the appropriateness of its commitment by staying for many hours – sometimes more than a day – in a reversible intermediate state, according to new research.

DoD grant to fund prostate cancer bone metastases research

Weill Cornell Medicine received a $1.5 million grant to develop new approaches for predicting the spread of cancer cells to the bone in men with prostate cancer, using tumor samples taken at early stages of the disease.

Cornell campuses unite at first Inclusion and Belonging Summit

The inaugural Inclusion and Belonging Summit was held on June 12, 2024 and hosted at Weill Cornell Medicine, drawing nearly 40 employees from Cornell’s main campus in Ithaca, Cornell Tech, Weill Cornell Medicine and other higher education institutions to New York City.

Around Cornell