Pandemic increased risks to NYC home health workers: study

Home health care workers in New York City faced increased risks to their physical, mental and financial well-being while providing essential care to patients early in the COVID-19 pandemic, according to researchers.

Panel: Pandemic has exposed long-standing health inequities

“Systemic Racism and Health Equity,” a webinar hosted July 23 by the Cornell Center for Health Equity, featured insights from three expert panelists and moderator Jamila Michener, associate professor of government and center co-director.

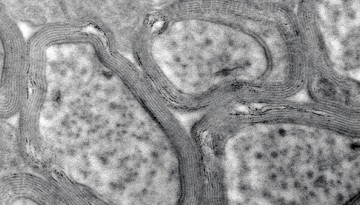
Gene yields insights into the causes of neurodegeneration

Fenghua Hu is researching factors that cause Alzheimer’s and similar diseases. Her new study shows the role that one particular gene plays in protecting the central nervous system via the formation and maintenance of the myelin sheath.

Cornell Atkinson awards $1.1M to innovative projects

Cornell Atkinson has awarded seven Academic Venture Fund seed grants, totaling $1.1 million, for projects that engage faculty from eight Cornell colleges and 16 academic departments.

Expanding precision medicine’s potential for humans, dogs

Researchers from Weill Cornell Medicine and the College of Veterinary Medicine are expanding the potential of precision medicine for canine and human patients, by studying a lymphoma that occurs in both people and dogs.

Opinion: COVID-19 models must factor in nursing home spread

According to Weill Cornell researchers, epidemiological models of COVID-19 should take into account the special dynamics of the coronavirus’s spread in nursing homes and other long-term care facilities.

Weill Cornell Medicine celebrates with virtual Commencement

Weill Cornell Medicine’s digital commencement ceremony was held May 28, celebrating 390 graduates in the Class of 2020.

Joining the health care ranks: Graduating during a pandemic

The prospect of residency typically brings jitters to newly minted doctors, but the transition has become far more complex with numerous unknowns surrounding the ongoing COVID-19 pandemic.

Cornell Research announces SARS-CoV-2 seed grant program

The Office of the Vice Provost for Research has announced a new seed grant mechanism to fund preliminary investigations into medical and biological aspects of SARS-CoV-2, the virus that causes COVID-19.